Advancing AI-powered smart energy storage solutions with Trinasolar
Nanyang Technological University, Singapore (NTU Singapore) and Trinasolar, a global smart photovoltaic (PV) and energy storage solutions provider, are collaborating to develop smart energy storage systems (ESS)
Fashion brands gain edge by embracing disability representation
When featuring models with disabilities in advertising, brands walk a fine line – how should they convey a message of inclusivity without coming across as exploitative and insensitive?
Shaping Singapore’s future, together
“My hope is for Singapore to emerge as a fairer, greener, and more equal country, with a much stronger spirit of solidarity and shared purpose.”
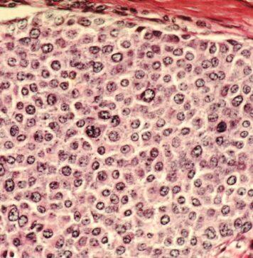
Closing in on cure for common leukaemia
A groundbreaking leukaemia test can help identify patients who are strong candidates for lifelong treatment free remission (TFR) – meaning they are effectively cured of the disease.
The Biberaj Foundation Inc. announces a $1.1 million scholarship for 40 RIT Kosovo students
The Biberaj Foundation Inc. announced a new academic scholarship, in the amount of $1,160,000, for 40 students to study to obtain a bachelor’s degree at Rochester Institute of Technology in Kosovo/American University in Kosovo Foundation.
Revolutionary chronic wound treatment could help millions
A team of international scientists has developed an effective treatment for preventing infection in chronic wounds that does not involve antibiotics.
UC academic improving clarity of satellite images in space by 60%
Satellites are increasingly being released beyond our atmosphere, but what happens if we lose communication with a satellite and can’t see it to understand why?
Kiwi scientists investigate Sky-Tower’s weird effect
When a scientist noticed the Sky-Tower appeared squat from close-up and tall from far away, he decided to investigate.
World-leading diamond expert joins Royal Society
Graham Pearson recognized by world’s oldest national scientific institution for outstanding contributions to diamond studies and mantle geochemistry.
Longtime Schulich professor wins prestigious chemical engineering award
What was originally planned to be a relaxing late-July day trip to Banff with his wife, ended up becoming much more for Dr. Anil Mehrotra, PhD’80, when he received an unexpected email.















































