Surgical masks as good as N95 masks for health-care workers providing routine COVID-19 care
Surgical masks are not inferior to N95 masks for preventing the spread of COVID-19 to health-care workers, says a study led by McMaster University researchers.
Religious people coped better with Covid-19 pandemic, research suggests
Two Cambridge-led studies suggest that the psychological distress caused by lockdowns (UK) and experience of infection (US) was reduced among those of faith compared to non-religious people.
Anhalt University will continuing to retain admission and enrollment for international students
Mister Dornberger, Anhalt University is one of the most international universities in Germany. Over 36 percent of our students come from another country.
Belgian COVID-19 patient re-infected only three months after the initial infection
A Belgian patient had COVID-19 twice. She was reinfected 93 days after the first infection and experienced symptoms in both occasions.
High blood pressure and its drug treatment unlikely to increase entry of COVID-19 virus...
Fears that people with high blood pressure are more at risk from severe Covid-19 because it is easier for the virus to enter their cells and tissues have been laid to rest...
Funding boost to improve manufacturing of viral vaccines
OVO Biomanufacturing, a spin-out company from Coventry University and the University of Warwick, has successfully secured £100,000...
Oxford coronavirus vaccine produces strong immune response in older adults
The ChAdOx1 nCov-2019 coronavirus vaccine, developed by teams at the University of Oxford, has been shown to trigger a robust immune response in healthy adults aged 56-69 and those over 70 years of age.
Stanford researchers collaborate on new StageCast technology for performers separated due to COVID-19
Michael Rau was directing an opera in New York City when the world shut down last March. Rau, who is the artistic director of Theater and Performance Studies (TAPS) at Stanford University...
Researchers win PM’s Science Prize for protecting NZ from Covid-19
New Zealand’s premier award for transformational science, the Prime Minister’s Science Prize, has been awarded to a collaborative team of academics and researchers...
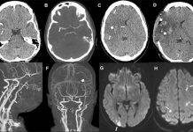
Covid-19 vaccine: Common stroke symptoms must be ‘urgently evaluated’
UCL and UCLH neurologists have published the first clinical observations of patients who experienced an ischaemic stroke, the most common form of stroke, following an Oxford AstraZeneca vaccine.















































