About United Kingdom Education News, Study in United Kingdom, Education in United Kingdom, United Kingdom University, University News, University Ranking, Study Abroad, Online Education, Education News, Education Fairs, Job Opportunities, Graduate Program, Undergraduate Programs, Admissions, etc…
Tag: United Kingdom Education News
Single dose of Pfizer BioNTech vaccine reduces asymptomatic infections and potential...
New data from Addenbrooke's Hospital in Cambridge suggests that a single dose of the Pfizer BioNTech vaccine can reduce by 75% the number of asymptomatic SARS-CoV-2 infections.
Thousands of children have not seen parents for a year: hidden...
It is estimated that each year 300,000 children in England and Wales have a parent in prison and, the research finds, many have not had any face-to-face contact with those parents since 13 March 2020...
Oxford vaccine creator Professor Sarah Gilbert awarded RSA Albert Medal
Professor Sarah Gilbert has been awarded the Royal Society for Arts, Manufactures and Commerce’ (RSA) Albert Medal for her work on the Oxford vaccine.
Regular meat consumption linked with a wide range of common diseases
Regular meat consumption is associated with a range of diseases that researchers had not previously considered, according to a large, population-level study conducted by a team at the University of Oxford.
15 current and former heads of state call for clean energy...
David Cameron, Ellen Johnson Sirleaf, and Donald Kaberuka – co-chairs of the Council on State Fragility – spearhead Call to Action with the g7+ Group of conflict-affected states.
Salt reduction will prevent nearly 200,000 cases of heart disease and...
England’s salt reduction programme will have led to nearly 200,000 fewer adults developing heart disease and £1.64 billion of healthcare cost savings by 2050, according to research by Queen Mary University of London.
Making music across the world
As a musician, nothing beats being able to play your music with others. The current pandemic makes that delicate choreography challenging – but not impossible – as our Music Department has shown.
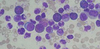
Hull York Medical School Identifies Genetic Tendency in Leukaemia Cells
Hull York Medical School clinicians have identified a way of predicting early whether or not patients will develop a common type of Leukaemia, based on their genetics.
King’s Professor receives international award
The American Society of Mechanical Engineers (ASME) has honoured King's Professor Jian S Dai with the 2020 Machine Design Award.
Boys who play video games have lower depression risk
Boys who regularly play video games at age 11 are less likely to develop depressive symptoms three years later, finds a new study led by a UCL researcher.













































