National hypertension taskforce takes on the silent killer of uncontrolled high blood pressure
A national taskforce has been set up to address uncontrolled high blood pressure – a dangerous problem facing one in three Australian adults and the leading risk factor for the country’s three top killers: coronary heart disease, stroke and dementia.
Carbon removal project aims to improve livelihoods in Vietnam
The University of Adelaide is a partner in a project to establish a facility in Vietnam’s Mekong Delta to turn waste biomass from agricultural activities into biochar.
Overshooting climate targets could significantly increase risk for tipping cascades
Temporarily overshooting the climate targets of 1.5-2 degrees Celsius could increase the tipping risk of several Earth system elements by more than 70 per cent.
Extracting stories from teeth
Dr Carolina Loch is interested in stories – specifically those which an animal’s teeth can tell about its life. Now she shares her own story...
£2.2m For Glasgow Cancer Centre To Help Find New Treatments
The development of new cancer treatments in Scotland is to receive major funding, providing future hope for people diagnosed with the disease.
Crusaders and UC team up to target fans’ fitness
Professional rugby players are not the only ones who have been working up a sweat in the Crusaders’ high performance gym. Local rugby fans have been training there, too, as participants in a healthy lifestyles initiative called RUFIT-NZ.
Progress on the University’s Climate Plan recognised in expert review
An expert review of progress on delivering the University’s sector-leading £174 million Climate Plan to meet net zero greenhouse gas emissions targets and build sustainability has been welcomed.
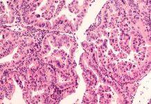
Unexpected associations found between drug response and cell changes in brain cancer
Therapies for treating glioblastoma brain cancer can be delivered with greater precision and existing drugs can be used in new ways. These are the conclusions from a study from Uppsala University investigating a large number of cell samples from patients with brain tumours.
New UOW appointments to transform computational statistics and marine industries
Professor Sumeetpal Singh begins as the Tibra Foundation Chair in Mathematical Sciences and Associate Professor Michelle Voyer as the Keira Endowed Professor in Energy Futures.
Why Work for UC Davis?
The UC Davis Graduate School of Management offers graduate business programs at four prime locations across Northern California as well as online.











































