About United Kingdom Education News, Study in United Kingdom, Education in United Kingdom, United Kingdom University, University News, University Ranking, Study Abroad, Online Education, Education News, Education Fairs, Job Opportunities, Graduate Program, Undergraduate Programs, Admissions, etc…
Tag: United Kingdom Education News
Five Key Lessons From 2021 Climate Expo As University Speakers Star
Across the world, countries are trying to simultaneously deal with two of society’s biggest ever challenges: climate change and a global pandemic.
Covid-19 vaccine: Common stroke symptoms must be ‘urgently evaluated’
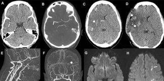
UCL and UCLH neurologists have published the first clinical observations of patients who experienced an ischaemic stroke, the most common form of stroke, following an Oxford AstraZeneca vaccine.
Award for student fighting the loneliness ‘epidemic’ among Bristol’s elderly
A selfless student who organised for 150 Christmas cards to be sent to lonely Bristol pensioners has been honoured with a special award.
British Council GREAT Scholarship
Teesside University is delighted to partner with the British Council and offer six £10,000 scholarships for applicants in the academic year 2021/22.
New study investigates diagnostic errors in English general practice
More than half (58%) of diagnostic errors in general practice happen during GP consultations with patients, according to new research which investigated this across general practice in England for the first time.
End-of-life Study Into Offshore Wind Turbines Led By University Of Hull...
A University of Hull study into the end-of-life cycle of offshore wind turbines has been boosted by £100,000 of funding.
International business challenge provides unique opportunities for students
A global partnership has led to Teesside University developing a unique business challenge for students around the world to harness their entrepreneurial skills.
Sunderland students triumph at RTS awards despite Covid challenges
Over the last year, the arts, cultural and entertainment sector has been hit hard by the coronavirus pandemic – but talented film-makers from the University of Sunderland now have reason to celebrate.
The Durham MBA (Online) climbs in QS global ranking
The Durham MBA (Online) has been placed 4th in the UK, 7th in Europe and 11th in the world, in the QS Online MBA Rankings 2021.
Personalised pacemakers could help heart patients keep fit
People living with heart failure could benefit from personalised pacemakers to help them exercise safely, thanks to a trial being carried out by a team in the School of Medicine.













































