About Canada Education News, Study in Canada, Education in Canada, Canada University, University News, University Ranking, Study Abroad, Online Education, Education News, Education Fairs, Graduate Program, Undergraduate Programs, Admissions, etc…
Tag: Study in Canada
University of Alberta study examines how SARS-CoV-2 affects the body’s vital...
Research involving Alberta patients will help clinicians better understand long-term effects of COVID-19.
UBC experts team up to tackle air pollution with network of...
Air pollution is an urgent problem linked to as many as nine million deaths per year worldwide and 14,000 annually in Canada, primarily from related heart and lung diseases.
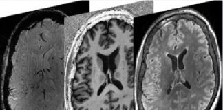
Powerful brain imaging provides new insights on neurological symptoms of COVID-19
A team of Western scientists and clinicians is combining powerful brain imaging tools with Alzheimer’s and epilepsy expertise to better understand the effects of COVID-19 on the brain.
Big names set to launch Third Age Learning Lakehead in Thunder...
Canadian activist and author Maude Barlow, the Toronto Star’s Linda McQuaig, and Lakehead University professor Dr. Charles Levkoe are just a few of the speakers set to present...
Problematic internet use and teen depression are closely linked, new Concordia...
Most teenagers don’t remember life before the internet. They have grown up in a connected world, and being online has become one of their main sources of learning, entertaining and socializing.
The new QS World Rankings by Subject confirm Concordia’s place among...
Each year, the QS World University Rankings by Subject adds to the list of global institutions it evaluates. Its numbers have increased by 30 per cent over the past five years alone, from 1,117 in 2017 to 1,453 in 2021.
Researchers at York University receive $9 million in CFI funding
Three major research projects at York University have received more than $9 million in research infrastructure funding from the Canada Foundation for Innovation.
University of Toronto ranked first in Canada across five subject fields...
The University of Toronto ranked first in Canada in five broad fields in the latest annual subject ranking by Quacquarelli Symonds, the London-based analytics and insights firm.
Moccasin fragment reveals precolonial connection between Subarctic and Southwest
New research by Lakehead University anthropologist Dr. Jessica Metcalfe and colleagues provides direct evidence for long-distance connections among precolonial Dene peoples...
Will climate change outpace species adaptation?
Many species might be left vulnerable in the face of climate change, unable to adapt their physiologies to respond to rapid global warming.












































