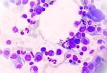
New therapy target to shut down multiple myeloma’s ability to survive and thrive
Multiple myeloma (MM) is one of the most formidable and deadly cancers known to man, with only 50% of patients surviving for more than five years after diagnosis.
Drug resistance may make common infections untreatable
This article by Senior Research Fellow Christine Carson, from The University of Western Australia's School of Medicine, originally appeared in The Conversation on 24 November 2023.
USC Gould launches two innovative online certificate programs in Law and Government, Technology and...
The new graduate certificates are designed to equip professionals with the essential knowledge and skills to navigate the evolving landscape of law, technology and governance
New research could predict deaths based on shopping habits
Research from Nottingham University Business School is one step closer to helping to predict deaths from respiratory diseases by analysing the shopping habits of customers in local authority areas across England.
Coin detectives put Celtic British coin collection online
A collection of over 200 coins from over 200 years of Celtic British history is now available to a worldwide audience.
Study reveals bias in AI tools when diagnosing women’s health issue
Machine learning algorithms designed to diagnose a common infection that affects women showed a diagnostic bias among ethnic groups, University of Florida researchers found.
Research challenges beliefs on honeybee insulation
Honeybees do not naturally insulate their colonies against the cold, according to new research by the University of Leeds.
New study will assess the use of remote rehabilitation to support stroke survivors
New research, led by experts at the University of Nottingham, will look at how people affected by stroke will benefit from telerehabilitation.
ASU creates hub of coursework for careers in booming microelectronics industry
The microelectronics industry is booming in Arizona, with thousands of jobs that need to be filled.
Renowned diabetes researcher will bolster world-leading expertise at University of Alberta
A renowned expert is joining the University of Alberta to research a critical underlying defect in all types of diabetes, with the goal of improving treatment...













































