About United Kingdom Education News, Study in United Kingdom, Education in United Kingdom, United Kingdom University, University News, University Ranking, Study Abroad, Online Education, Education News, Education Fairs, Job Opportunities, Graduate Program, Undergraduate Programs, Admissions, etc…
Tag: United Kingdom Education News
Report highlights cost of misinformation to healthcare services during COVID-19 pandemic
A new report has highlighted the consequences of misinformation, including loss of trust in public institutions, delayed action on pressing issues such as climate change...
GEIC signs NERD as Tier 1 partner for sustainable construction tech
Nationwide Engineering Research & Development (NERD) has signed a Tier 1 agreement with The University of Manchester’s Graphene Engineering Innovation Centre (GEIC)...
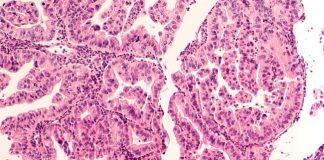
£2.2m For Glasgow Cancer Centre To Help Find New Treatments
The development of new cancer treatments in Scotland is to receive major funding, providing future hope for people diagnosed with the disease.
Virtual Reality Experience transports students to Ancient Greece
New immersive experience at King’s allows users to step back 2,500 years to consult with ancient Greek gods.
World-class centre for single crystal electron diffraction will be UK first
A new centre based jointly at the University of Southampton and the University of Warwick will draw on expertise from two world class universities and become a game changer for chemical industries...
Targeting variant of common protein may dramatically boost effectiveness of breast...
A rare variant of a protein present in nearly all human cells may hold the key to improving the effectiveness of breast cancer treatment, according to University of Manchester research funded by Breast Cancer Now.
Antarctic glaciers formed 30 million years earlier than previously thought
A new study has revealed that glaciers formed in the highest mountains of Antarctica at least 60 million years ago, which is 30 million years earlier than previously thought...
New study reveals evidence of early Ice Age writing and what...
A research team including two Durham University academics have decoded the meaning of markings seen in Ice Age drawings, and in doing so found evidence of early writing dating back at least 14,000 years earlier than previously thought.
‘Veggie’ dinosaurs differed in how they ate their food
Although most early dinosaurs were vegetarian, there were a surprising number of differences in the way that these animals tackled eating a plant-based diet, a new study reveals.
Ambitious global plans for European partnership
A major European research partnership is to expand its collaborative projects to help tackle pressing global issues.













































